sexta-feira, 24 de março de 2023

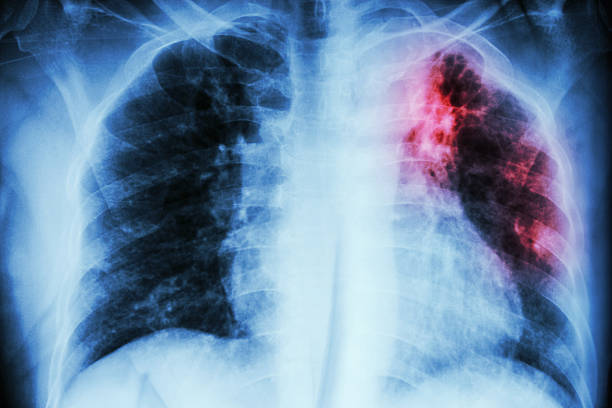
CANAL SAÚDE Tuberculose: 70 mil brasileiros são diagnosticados por ano

 

O cirurgião torácico Rafael Tavares discute o tema no Canal Saúde desta sexta-feira (24)


                               Por Gabriel Abath - Rádio Folha FM

O Brasil está entre os países com mais casos da doença. De acordo com o Ministério da Saúde, por ano, 70 mil brasileiros são diagnosticados com tuberculose. Hoje, 24 de março, é o Dia Mundial de Combate à Tuberculose. Para falar sobre o assunto, Jota Batista conversou, no Canal Saúde desta sexta-feira (24), com o cirurgião torácico Rafael Tavares.

Escreva a legenda aqui


De acordo com o médico, a tuberculose se torna um problema maior quando acomete crianças, idosos e imunocomprometidos. 

Ela está muito associada à imunodeficiência, então, nos extremos de idade, costuma ser um problema maior. Vale salientar que toda criancinha, no Brasil, quando nasce, precisa tomar uma vacina, que é a BCG, para evitar os casos extremamente graves que acontecem em recém-nascidos”, explicou.

O tratamento da tuberculose, segundo o profissional de saúde, é longo, porém muito eficaz.

É medicamentoso, com antibióticos. Tem que tomar os remédios todos os dias durante seis meses, normalmente, para a tuberculose pulmonar. É um acompanhamento que na rede SUS é entregue de forma gratuita”, disse o cirurgião.

Rafael Tavares também se pronunciou sobre o movimento antivacina.

É um absurdo: não faz sentido. Vacina é o que permite eliminarmos doenças gravíssimas da humanidade. Vacinas salvam vidas”, afirmou.

BLOG DO BILL NOTICIAS

AGRESTE - Pessoas saqueiam caminhão que tombou e deixou um morto em Pernambuco. Bombeiro reage: "Isso é roubo"

 

Motorista do caminhão perdeu o controle. Ele morreu no local


                                  Por Portal Folha de Pernambuco
Bombeiro reclamou do saque: "Ladrão somos nós" - Foto: Reprodução

A cena de um bombeiro reclamando com pessoas que saqueiam parte de uma carga de sapatos em Panelas, no Agreste de Pernambuco, chamou atenção nas redes sociais. Nas imagens, é possível ver o profissional afirmando aos saquadores que "isso é roubo".

De acordo com informações da Polícia Rodoviária Federal (PRF), o acidente aconteceu na tarde da última terça-feira (21), no quilômetro 119 da BR-104.

O motorista do caminhão perdeu o controle do veículo, saiu da pista e tombou. Sozinho no veículo, ele morreu no local.

Populares começaram a saquear a carga de sapatos antes da chegada dos bombeiros ao local. Em tom irritado, um dos bombeiros que participa do resgate reclama do roubo:

"Vocês ficam falando da política. Ladrões somos nós, rapaz. Isso é roubo, vocês não estão entendendo não, é? O cara aqui, o pai de família ali, morto. Vocês não estão nem aí, roubando aqui a carga"

Instituto de Criminalística (IC) e Instituto de Medicina Legal (IML) foram acionados para darem início aos trabalhos de perícia e remoção do corpo do caminhoneiro do local.

Carga ficou espalhada no local após o caminhão tombar | Foto: Divulgação/PRF

BLOG DO BILL NOTICIAS

Lula está bem e agenda na China segue mantida

O ministro-chefe da Secretaria de Comunicação da Presidência, Paulo Pimenta, afirmou que o presidente Lula da Silva (PT) está se recuperando bem da pneumonia leve

Presidente Luiz Inácio Lula da Silva (Foto: Marcelo Camargo/ABr)

O ministro-chefe da Secretaria de Comunicação da Presidência da República, Paulo Pimenta (PT), afirmou nesta sexta-feira (24) que o presidente Luiz Inácio Lula da Silva (PT) está se recuperando bem da pneumonia leve diagnosticada após ter sido atendido por médicos do Hospital Sírio-Libanês, em Brasília, na noite de quinta-feira (23).

Segundo Pimenta, Lula está disposto e viajará para a China na manhã de domingo (26), apesar do adiamento do embarque em um dia. O presidente tem agenda na China entre 27 e 30 de março, que foi mantida. 

Lula estava com rouquidão na voz e tosse durante uma agenda no Rio de Janeiro na quinta-feira e preferiu não discursar para proteger a voz antes da viagem à Ásia. Em novembro do ano passado, o presidente passou por um procedimento médico para retirada de uma leucoplasia na garganta. 

O médico que acompanha Lula, o cardiologista Roberto Kalil Filho, afirmou que o estado geral do presidente é bom e estável, e que Lula não precisará ser submetido a novos exames antes de viajar no domingo. 247.


BLOG DO BILL NOTICIAS

PNEUMONIA LEVE - Lula é diagnosticado com pneumonia e adia viagem; entenda os riscos do quadro

 

Em evento nesta quinta-feira (23) na Cinelândia, no Rio de Janeiro, Lula já havia dito que estava com a "garganta ruim"


                                  Por Agência O Globo

Nesta sexta-feira, o presidente Luiz Inácio Lula da Silva (PT) adiou a viagem que faria para a China neste sábado para o domingo devido a um quadro de “pneumonia leve”, diagnosticado na noite dessa quinta após exames no Hospital Sírio Libanês, segundo comunicado.

Em evento nesta quinta-feira (23) na Cinelândia, no Rio de Janeiro, Lula já havia dito que estava com a “garganta ruim” e que por isso iria descansar para a ida ao país asiático.

A pneumonia é um nome geral para uma inlfamação no pulmão que na maioria das vezes é consequência de uma infecção, como de um vírus, de uma bactéria, de um fungo ou de outros agentes infecciosos. Ela acomete principalmente crianças de até 5 anos e idosos acima dos 65 anos, como Lula, que estão mais suscetíveis à contaminação por doenças devido ao sistema imunológico mais enfraquecido.

Quais os riscos?
Uma pneumonia leve, como a de Lula, quando devidamente tratada não oferece grandes riscos à saúde. Os sintomas podem durar apenas 48 horas, e o quadro se resolver em cerca de três dias.

Em casos de maior atenção, o tratamento, com medicamentos direcionados ao agente infeccioso – como antibióticos, no caso da bacteriana – pode variar de 5 a 14 dias. Já as mais graves, que levam o paciente a ser internado, podem demorar meses para se resolver completamente.

Embora os casos leves não ofereçam grandes riscos, situações mais graves podem levar a um baixo nível de oxigênio na corrente sanguínea, já que a infecção acomete o trato respiratório. Com isso, o paciente passa a sentir falta de ar e pode sofrer uma parada respiratória, o que pode levar à morte.

Outros riscos é, quando não tratada, a infecção se agrava e provoca um abscesso pulmonar, quando uma área do pulmão morre e fica com um acúmulo de pus. Há também a possibilidade de o quadro provocar lesões permanentes no órgão.

Em 2019, por exemplo, antes da pandemia, a enfermidade se transformou na maior causa infecciosa de mortes de adultos e crianças – ceifando a vida de 2,5 milhões de pessoas, incluindo 672 mil crianças.

Quais os sintomas da pneumonia?
Os sintomas são parecidos com a gripe e envolvem:

Catarro amarelado;

Febre alta;

Tosse;

Falta de ar;

Dores no pulmão.

O que aumenta o risco para pneumonia?
O desenvolvimento de um quadro de pneumonia pode estar ligado ao ambiente hospitalar no caso de pacientes internados que acabam mais suscetíveis aos agentes infecciosos. Além disso, no caso das causadas por vírus, podem ser consequência do agravamento de doenças como a gripe, um resfriado ou a Covid-19.

Além de ser mais recorrente nos extremos de idade, pessoas com doenças pulmonares, diabéticas, imunodeprimidas, expostas à poluição e que passaram por doenças graves recentemente, o que enfraquece o sistema imune, também estão mais suscetíveis.


BLOG DO BILL NOTICIAS


O Presidente Lula, por meio do Ministério da Saúde lançou na quarta-feira (22), ação para eliminar casos de câncer do colo do útero.

 Projeto prevê teste de detecção de HPV no SUS

Marcelo Camargo/Agência Brasil


O Ministério da Saúde lançou nesta quarta-feira (22) estratégia para zerar os casos de câncer do colo do útero no país. A doença é o quarto tipo de câncer mais comum entre mulheres e mata, em média, 6 mil brasileiras ao ano.

A medida prevê ações para reduzir casos, prevenção, vacinação e inclusão de teste molecular (PCR) para detecção do HPV, vírus sexualmente transmissível e causador do câncer do colo do útero, no Sistema Único de Saúde (SUS).

Recomendado pela Organização Mundial da Saúde, o teste identifica de forma mais precisa a presença do vírus e, com isso, será possível ampliar o rastreio da doença na população feminina entre 25 e 64 anos e reduzir casos graves e mortes. Atualmente, o diagnóstico é feito na rede pública de saúde pelo exame papanicolau.

De acordo com orientações do ministério, se o teste PCR for positivo, a paciente deve passar pelo exame citológico (papanicolau) e tratamento. Em caso negativo, o PCR deve ser repetido em cinco anos.

“Vamos proteger as mulheres, junto com a vacina de HPV e rastreamento do câncer do colo do útero”, disse a ministra Nísia Trindade, ao anunciar a ação, no Recife, ao lado do presidente Luiz Inácio Lula da Silva. No mesmo evento, foi relançado o Programa de Aquisição de Alimentos (PAA).

Outra ação é elevar os índices de vacinação contra HPV, que apresentam queda nos últimos anos. Em 2022, a baixa foi de 75% entre meninas. A meta é chegar a 90% de cobertura, percentual considerado fundamental para garantir a eliminação do câncer de colo do útero no país. A vacina é gratuita, está disponível nas unidades básicas de saúde e é recomendada para adolescentes de 9 a 14 anos, além de imunossuprimidas.

Projeto-piloto

A cidade do Recife será pioneira no projeto da Estratégia Nacional de Controle e Eliminação do Câncer Cervical. Cerca de 400 mil mulheres no estado, de 25 a 64 anos, serão testadas. Haverá também monitoramento de exames e implantação do projeto nas unidades de saúde.

A partir do segundo semestre, as ações serão ampliadas para todo o país. (Por Agência Brasil - Brasília).

Edição: Carolina Pimentel



BLOG DO BILL NOTICIAS

Lula celebra encontro com Julian Assange em Roma e o aponta como herói da liberdade de expressão

  Presidente exaltou o apoio decisivo do Papa Francisco para sua libertação Lula e Julian Assange (Foto: Ricardo Stuckert) Durante sua viage...